
In unserer Praxis kommt ein digitaler Röntgenscanner zum Einsatz. Damit erreichen wir eine deutliche Qualitätssteigerung in der Diagnostik, aber auch Archivierung und Verwaltung unserer Röntgenbilder. Die Strahlenbelastung unserer Patienten ist ebenso verringert, wie die Umweltbelastung durch die sonst notwendigen Entwicklerchemikalien.
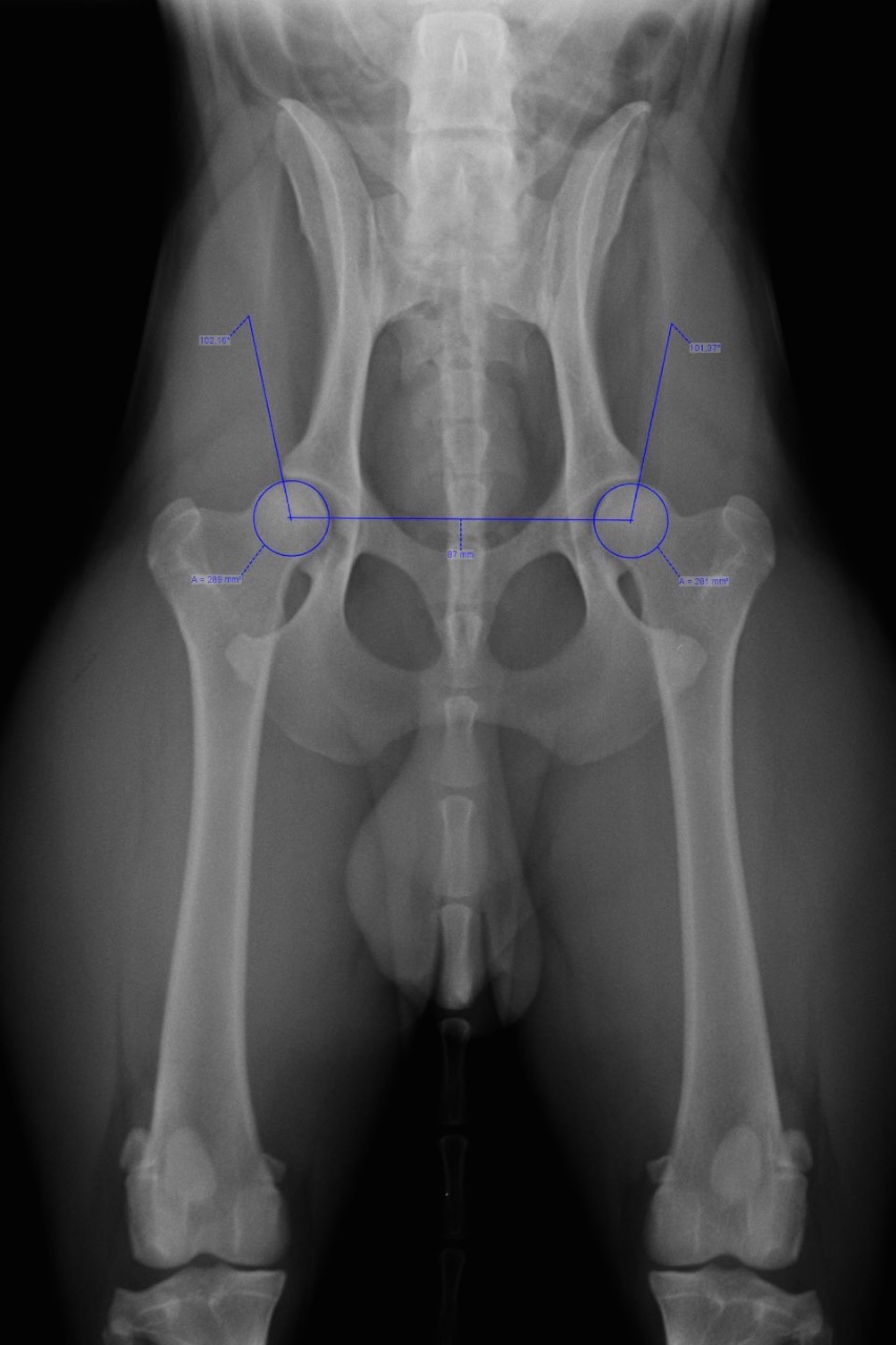
Durch die Möglichkeiten digitaler Bildbearbeitung und diverser Software können wir genaue Messungen durchführen. z.B.: exakte HD-Messung, oder objektive Herzgrößenmessungen.
Wegen der Qualität unserer Bilder und dem hohen Maß an Unbefangenheit in der Befundung, sind wir seit dem Jahr 2000 Vertrauenstierarzt-praxis, sowie offizielle HD, ED/OCD - Röntgenstelle des SVÖ und ÖKV.





Der Warenkorb ist leer.